Invisalign offers a modern solution for patients seeking straighter teeth without the need for noticeable braces. It provides numerous benefits, including pain-free straightening, a virtually invisible appearance, and predictable results.
Custom-made by our team of dental professionals, Invisalign braces offer a modern orthodontic solution for patients of all ages, designed to fit seamlessly into any lifestyle.
Our highly skilled Invisalign team is led by Dr Saleh Aria (GDC No. 75163), who has over 19 years of extensive dentistry experience.
Dr Aria is proud to be an approved Diamond Provider of Invisalign (which means he has treated between 280 to 399 Invisalign patients from all parts of Essex in the last 12 months).
The team at Harrow Dental Practice are delighted to have received recognition for completing over 500 Invisalign cases.
Our Invisalign Comprehensive package includes everything you need for a straighter, healthier smile:
If you proceed with treatment, radiographs and intra/extoral photos are also included in the price
A £25 holding fee is required to book your Invisalign consultation. If you proceed with treatment, this fee will be deducted from the total cost. If you choose not to go ahead with treatment, the fee will be refunded.
Meet Dr George Papadakis (GDC No. 211537) and Dr Vasileia Manoloutsou (GDC No. 84677), our Invisalign Diamond Providers
You will leave the practice with a more confident, brighter and straighter smile.
£291.25 per month – Confirmed Simple Case
£341.66 per month – Complex cases
For Simple Case:
£900 on the day of treatment approval
£2,000 on the day of aligner fitting
£595 final payment
For Complex Case:
£900 on the day of treatment approval
£2,600 on the day of aligner fitting
£600 final payment
Save £150 on a Simple Case - £3345
Save £200 on a Complex Case - £3,900
Book your consultation today and start your journey to a new smile!
To help keep this treatment as affordable as possible, we have ensured our Invisalign prices are extremely competitive when compared to other Essex Invisalign dentists near you.
| Invisalign Treatment | Cost from |
|---|---|
| Invisalign consultation | £95 |
| Invisalign (for 12 months interest free finance - includes unlimited aligners, xrays, retainers, photos and digital 3D scan) | £291.25p/m |
| Invisalign Teens (for 12 months interest free finance - includes unlimited aligners, xrays, retainers, photos and digital 3D scan) | £291.25p/m |
| Vivera retainers (3 sets) | £500 |
| Essix retainer (1 arch) | £150 |
| Essix retainer (upper & lower arch) | £250 |
We also offer flexible Invisalign monthly payment plans to help you spread out the costs of your orthodontic treatment.
Our Invisalign package includes unlimited aligners, digital 3D scan, radiographs, intra and extra oral photos, and all Invisalign appointments.
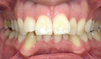
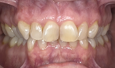
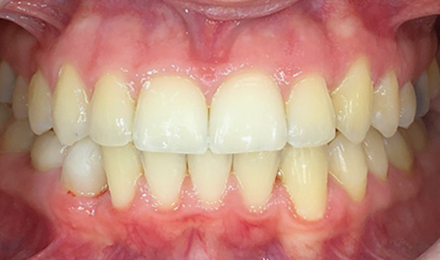
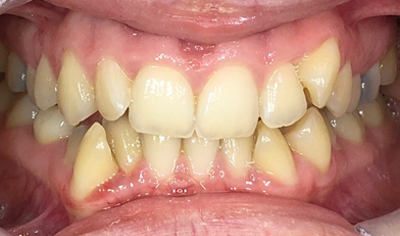
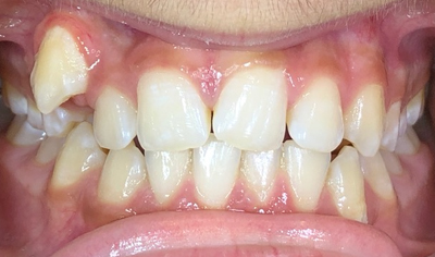
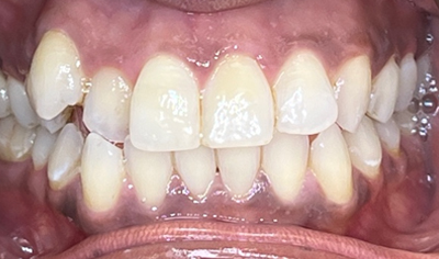
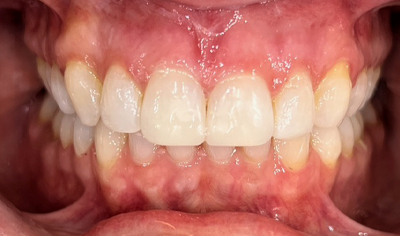
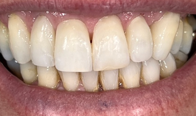
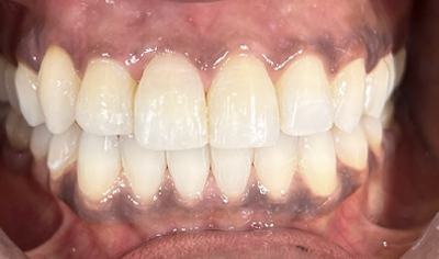
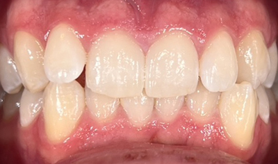
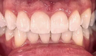
Below are some examples of recent patients of ours from Essex who successfully completed their Invisalign braces treatment with a stunning smile transformation.
Please use the slider on the case studies below to see the smile transformations.
Invisalign braces are designed to straighten teeth using a series of nearly invisible aligners which are made specifically for your teeth.
Following your consultation at our Hornchurch practice (only afew minutes from Romford) our expert orthodontists will take a digital impression of your teeth and draw up a plan using ClinCheck®.
This cutting-edge technology allows us to create a virtual 3D treatment plan that maps out the series of movements your teeth will go through over the course of your Invisalign treatment.
You’ll even be able to see how your teeth will be once your treatment is complete so you know exactly how your new smile will look before you start. Your Invisalign dentist will then be able to tell you how long your treatment will take to get you to where you need to be.
You’ll be given a number of aligners, each slightly different to the last, to wear in two week intervals. These clear braces then apply gentle pressure in all the right places to gradually move your teeth to their desired position.
Invisalign treatments from Harrow Dental are designed to fit around your life. Treatment times are typically much faster than traditional braces too – so you could enjoy perfectly straight teeth in just a matter of weeks.
Invisalign is the global leader in invisible teeth straightening technology; using a series of custom-made aligners that are created to fit your mouth perfectly.
Invisalign clear braces are comfortable, clear and removable transforming your smile without disrupting your life.
We are very proud to be certified Diamond partners of Invisalign braces. With over 17 million success stories worldwide, we are proud to offer our patients in Hornchurch and across Essex the chance to get flawlessly straight teeth quickly, safely, and comfortably.

"After a lot of research and consultations with several practices I decided to go with Harrow Dental for my Invisalign. I like that this practice has several dentist, good availability and services. My Invisalign journey has been great and with the support and advice from dentist Aun and nurse Mirela I feel that I have finally got the nice teeth I have yearned so long for.
They have given me so much time to ensure the process is not rushed and that I maintain good heathy teeth and gums. I have also seen the hygienist who was fab and gave so much energy! I would definitely recommend this practice to anyone, especially if you are looking for that perfect teethy smile!"
Sonia Nikki
"I have been undergoing my Invisalign journey with the Harrow Dental Practice for a few months now and the quality of service has been great. From the start, Dr. Aun, Dr. Aria and Nurse Mirela have all been professional, knowledgeable, friendly, and have put me at ease throughout.
The receptionists are all helpful and welcoming too! I recommend that anyone thinking of starting their Invisalign journey to complete it at the Harrow Dental Practice."
Caitlin Wilson (August 2022)
"Been going through my invisalign process with dentist Aun and nurse Mirela and they have been great from the start, very friendly and making me feel at ease at all times! Been the best dentist I've been to, thank you! 😊"
Cinders (July 2022)
"I attended the Harrow Dental Practice recently to continue my Invisaline treatment, the receptionist Sophie was excellent, as was the dentist Aun. The practice is well run and I have had no issues. I recommend it."
Simon F
"I have been a patient at the Harrow dental practice for a couple of years now, I started off having regular check ups and hygiene appointments but more recently I have almost completed my invisalign journey.
Dr Aria and Aun Shirazi have been great throughout my Invisalign treatment, they are both very professional and knowledgeable and I am really pleased with the result so far. I also couldn’t recommend my hygienist, Lisa, enough - I look forward to visiting her every time & having a nice chat whilst also leaving with lovely white teeth & great dental care advice.
The front of house staff and dental nurses are also very polite and accommodating too - overall a great dental practice :)"
A C
"This review was originally done before lockdown but wanted to add after a visit a few days ago. (0rigonal review)- An excellent practice with friendly, professional and helpful staff. Been with them over 6 years and never felt let down in any way.
(Updated)- I went to see Dr Aria on the 01/07/2020 for a much needed check up on my Invisalign and was astounded and impressed at the anti viral equipment and safety procedures in place in this practice which seemed far superior to a few hospital visits I had attended recently (non covid19 related). I genuinely felt safe in this environment, more so than my own home to be honest.
I am sure other medical establishments could learn a lot from Dr Aria's active care here and would encourage patients to go here above all other practices."
A Dodds
Please take a look at the step-by-step Invisalign pre and post-treatment video review from one of our patients.
These aligners are made of smooth, comfortable, and virtually invisible plastic that you wear over your teeth. There are no metal brackets or wires attached to your teeth like conventional teeth straightening braces.
Invisalign braces are also completely removable. They are not bonded to your teeth so you can wear the aligners for 22 hours a day and easily remove them for eating and brushing your teeth.
Invisalign can treat a range of teeth straightening issues from minor tooth movements to more complex cases. Your Essex dentist may recommend Invisalign braces to treat:
These are all serious issues that can put your teeth under a great deal of strain. With Invisalign, many cases can be resolved in under a year.
Your treatment time will all depend on how severe your case is and the smile you wish to achieve.
At your Invisalign braces consultation our Invisalign dentists will need to carry out an initial smile assessment to discuss your teeth straightening needs and to determine whether Invisalign would be your best option.

An essential 13 page report full of the most useful information, ideal if you’re thinking about having braces
The costs and lowest price alternatives
Your options and choices for treatment
Are you suitable for treatment?
How does Invisalign compare to the other brace systems?
How long does treatment take?
Plus lots more…

Call us on 01708 479717 to book a consultation or enquire online











