If you're looking for excellent yet affordable orthodontic treatment near you in Essex from a highly rated and experienced dentist, our modern Hornchurch clinic can help.
Our highly skilled orthodontic team is led by Dr Saleh Aria (GDC No. 75163), who has over 19 years extensive dentistry experience.
Dr Aria is proud to be an approved Diamond Provider of Invisalign (which means he has treated between 280 to 399 Invisalign patients, from all parts of Essex, in the last 12 months).
An orthodontist will advise patients of the best teeth straightening option for their needs. The conventional way to straighten teeth is to use fixed braces.
This involves fixing a small metal or tooth coloured bracket to each tooth and then attaching a wire to slowly move them into the desired place.
The wire is attached by very small elastic bands called modules. These come in a range of colours including a clear option.
The wires are adjusted regularly until your teeth have moved into the desired straightened position.
Both adults and teenagers can see an orthodontist to straighten their teeth. When children become teenagers many will have all their adult teeth come through and their dentist will normally advise whether they are ready to see an orthodontist.
A 13 page report full of the most useful information, ideal if you’re thinking about having braces
The costs and lowest price alternatives
Your options and choices for treatment
Are you suitable for treatment?
How does fixed orthodontics compare to the other brace systems?
How long does treatment take?
Plus lots more…

An orthodontist will assess a patients’ current smile and check all the teeth before advising the options available. Not all modern teeth straightening methods such as Invisalign and Six Month Smiles are suitable for every patient.
Some patients have severely crooked teeth or overcrowd teeth which require further orthodontic treatments or even dental treatments before the straightening process begins.
To find out more about orthodontics and teeth straightening, please call our dental practice on 01708 479717.
Mr Max Kazemi (GDC No. 78949) our specialist orthodontist will leave the practice with a more confident, brighter and straighter smile.
Please contact our practice in Hornchurch on 01708 479717.
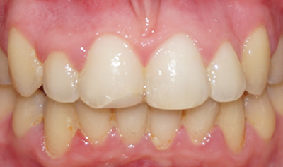
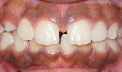
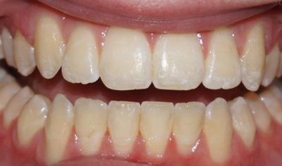
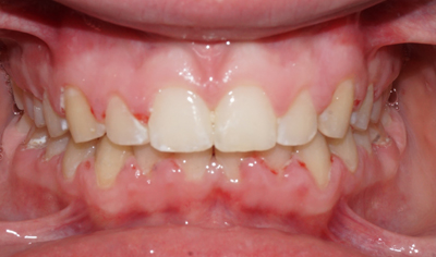
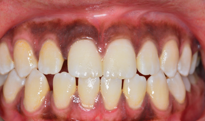
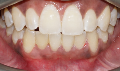
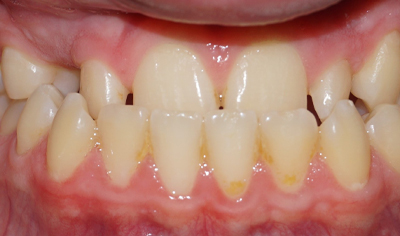
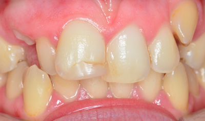
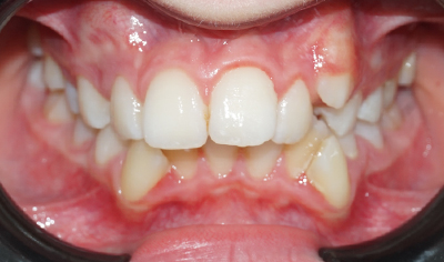
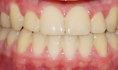
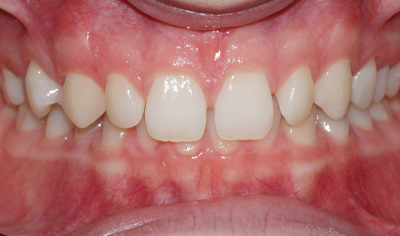
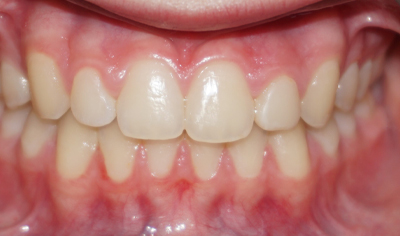
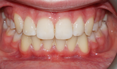
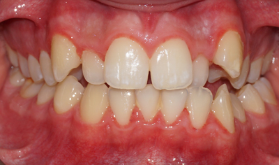
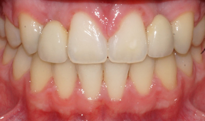
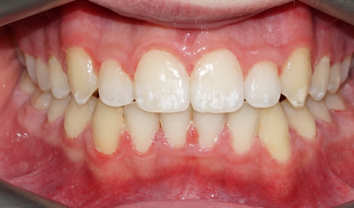
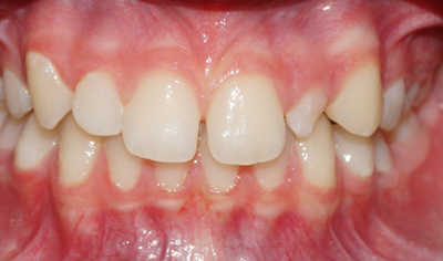
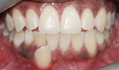
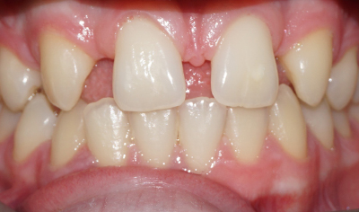
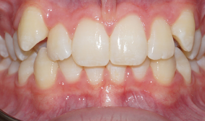
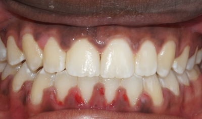
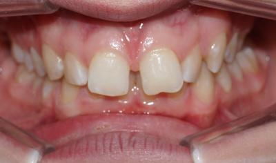
Below are some examples of recent patients of ours from Essex who successfully completed their Fixed orthodontic treatment with a stunning smile transformation.
Please use the slider on the case studies below to see the smile transformations.
"I have been a patient at the Harrow dental practice for a couple of years now, I started off having regular check ups and hygiene appointments but more recently I have almost completed my invisalign journey.
Dr Aria and Aun Shirazi have been great throughout my Invisalign treatment, they are both very professional and knowledgeable and I am really pleased with the result so far. I also couldn’t recommend my hygienist, Lisa, enough - I look forward to visiting her every time & having a nice chat whilst also leaving with lovely white teeth & great dental care advice.
The front of house staff and dental nurses are also very polite and accommodating too - overall a great dental practice :)"
A C
"I was a little worried about protection from COVID-19, but the measures they have put in place and the investment in a virus removal system, soon put any fears to rest. I am also very pleased with the Invisalign treatment I have received from Dr Aria.
I would highly recommend his surgery for safe professional treatment."

Peter Mills
Call us on 01708 479717 to book a consultation