Specialist Dentistry in Hornchurch Essex

From minor treatments to complex cases

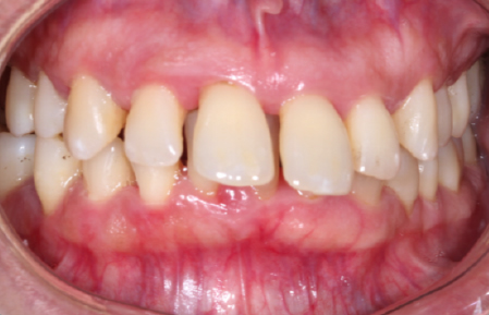
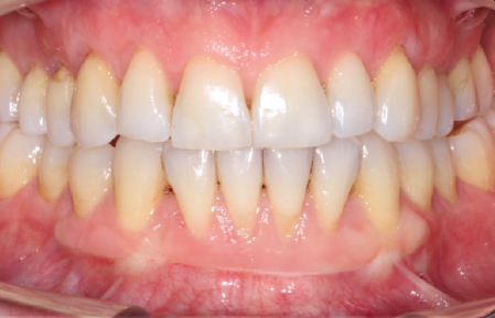
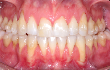
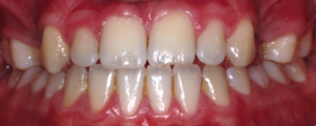
Severe periodontitis

Before treatment for Severe Periodontitis in Hornchurch

Before Treatment

After treatment for Severe Periodontitis in Hornchurch

After Treatment

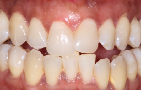
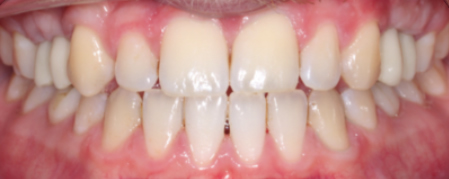
Localised gingival recession

Before treatment for Localised gingival recession in Hornchurch

Before Treatment

After treatment for Localised gingival recession in Hornchurch

After Treatment

Multiple gingival recession

Before treatment for Multiple gingival recession in Hornchurch

Before Treatment

After treatment for Multiple gingival recession in Hornchurch

After Treatment

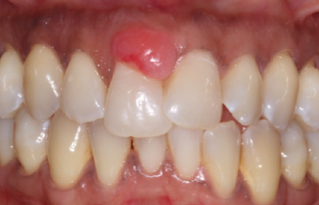
Gingival lesions

Before treatment for Gingival lesions in Hornchurch

Before Treatment

After treatment for Gingival lesions in Hornchurch

After Treatment

Dental implants

Before treatment for Dental Implants in Hornchurch

Before Treatment

After treatment for Dental Implants in Hornchurch

After Treatment

Symbol